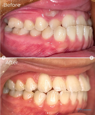
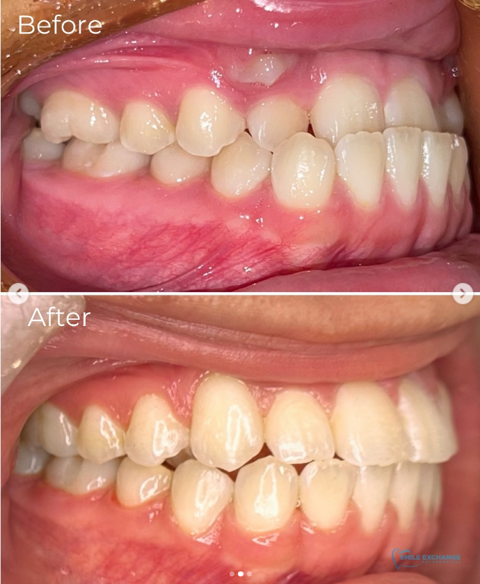
Smile Exchange Orthodontics - Dr. Raffi Partamian
Posted on: 11-07-2025 02:17 PM PST
|
|
|||||||||||
ArmenianBD.com
The One and Only Anette Aghabekyan in Los Angeles, CA. December 31, at 8 PM. Call: (818) 295-3000
The Best Live Entertainment Program with Marjana. TUESDAY to SUNDAY EVENINGS, in Glendale, CA. Call: (818) 869-3030
Unknown Subscriber in Pasadena, CA. November 20, 22 and December 4, 6, 2025 at 7:30PM. Call: (818) 265-0506
Armenian Music Video Awards 2025 in Hollywood, CA. December 11, at 7 PM.
ARMENIAN NATIONAL MUSIC — REIMAGINED in Glendale, CA. December 19, at 7PM.









